Press Releases 2014
Lynx Take Lunch Breaks
An international research team recorded and analyzed the activity patterns of 38 wild cats over the course of months
Self-Shedding Surfaces
Chemist receives a 1.49 million euros ERC Starting Grant to develop materials for biomedical applications
Synthetic Furnishings for the Cell
Stefan Schiller receives 3.4 million euros in funding from the Federal Ministry of Education and Research
Energy for Cell Division
Freiburg biochemists discover a signaling path that links energy conversion and cell division
Nano Ruffles in Brain Matter
Freiburg researchers decipher the role of nanostructures around brain cells in central nervous system function
Team Maps Epigenome of Cardiac Muscle Cell
Freiburg pharmacologists identify switches that play an important role for the cardiac gene program
Understanding the Components of Memory
Freiburg neurobiologists elucidate the spatial and temporal dynamics of specific glutamate receptors in the brain
Fertilizer and Fuel
Freiburg researchers elucidate how a nitrogen-fixing enzyme also produces hydrocarbons
Travelling by resonance
Scientists provide explanation how nerve cells communicate with each other over long distances
How Alzheimer’s Peptides Shut Down Cellular Powerhouses
Freiburg biochemists discover new mechanisms of the brain disease
Zipper Triggers Bacterial Invasion
Freiburg researchers discover new strategy germs use to invade cells
A Sweet Pathway into the Cell
Freiburg researchers engineer bacterial proteins that can transport substances across the cell membrane
Sugar Protects Cells from Bacterial Invasion
Freiburg researchers find agent against hospital germ Pseudomonas aeruginosa
The Great Chinese Wall of Ants
Freiburg ecologists discover a new species of wasp that protects its offspring with dead ants
Rhesus Proteins Transport Ions, not Gas
Using artificial lipid vesicles, biochemists show how membrane proteins transport ammonium.
Nanoscale Ruler reveals Organization of the Cell Membrane
Freiburg biologists measure distances and the arrangement of membrane molecules in nanometer range
Finding thoughts in speech
Research team reports on how the human brain processes thoughts during natural communication
Clever Suppression in the Brain
Diversity of inhibiting nerve cells allows for more complex information processing
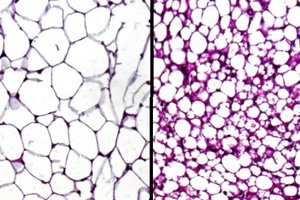
Epigenetic Enzyme Regulates Fat Formation
Freiburg researchers demonstrate that LSD1 plays a key role in metabolic processes
